위암은 매일 우리가 먹는 음식 즉, 식습관과 연관관계가 깊습니다. 특히 짠음식, 가공육류 및 훈제식품 그리고 불에 태운 음식 등은 위암을 발생시킬 수 있는 주요한 원인이 됩니다. 또한 술이나 담배, 과체중, 가족력 등도 위암 발병의 원인일 수 있습니다. 위암 초기증상 속쓰림 무증상 및 위암 4기 생존율에 대해 알아보도록 하겠습니다.

위암 초기증상 속쓰림 무증상
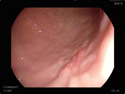
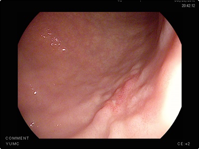
위암 초기증상: 속 쓰림 증상
위산 역류의 현상인 속쓰림 또한 위암이 계속되고 있다는 위암 초기증상의 신호일 수 있습니다. 속쓰림의 경우 약을 섭취하면 치유가 빠른 편이지만 다시 쉽게 심해질 수 있습니다. 때문에 약을 섭취하고 난 차후에도 연쇄적인 속쓰림이 반복될 경우에는 증상을 신중하게 살펴야 합니다. 왜냐하면 단순 속쓰림이 아닐 수 있습니다. 간혹 이러한 속쓰림 증상은 위에 암세포가 증식하고 있다는 신호일 수 있으니까 명확한 검진이 필요합니다.
위암 초기증상: 소화기능 저하로 인한 위축성 위염
위산 분비가 감소하면서 동시에 소화기능이 저하되면 위 점막에 있는 세포가 변형을 일으키게 됩니다. 그리고 소화기능 저하라는 초기증상으로 나타나게 됩니다. 이는 위암 발생 위험도가 6배나 높습니다. 그리고 위축성 위염이 된 위는 정상인의 위로 회복이 불가능합니다.
하지만 위암으로 발전하지 않게 하도록 연속적인 관리가 필요합니다. 때문에 정기적으로 꾸준히 위내시경 검사를 하는 것이 중요합니다. 때문에 위암을 미리 예방하기 위해서는 나트륨 과다섭취를 피하는 것이 좋습니다. 가능하면 위벽을 자극하지 않도록 해야만 합니다. 위가 자극을 받게되면 위궤양을 일으키고 암세포를 생성하게 됩니다.














위암 초기증상: 갑작스러운 혈변 또는 대변색의 변화
위암이 진척되는 경우 복부에 덩어리가 느껴지기도 하고 변의 칼라가 흑색으로 나오거나 혈변을 볼 수 있습니다. 이러한 상황이 나타나면 건강에 문제가 생긴 것을 의심해봐야 합니다. 흑색변은 위 점막의 출혈 때문에 출현하는 증상중 한가지 입니다.
위의 출혈은 혈액이 위장에 머물러 있는 시간이 길어지면서 나타나는 증상입니다. 혈액이 장내 세균에 의해 분해가 됨으로써 검은색을 띄는 흑변 증상입니다. 때문에 장출혈과 위염증상 및 위암초기증상에서 출현하는 위출혈은 대변의 색으로 미리감치 구별을 할 수 있습니다.
위암 초기증상: 심한 구토 증상
음식을 정상적으로 소화하지 못하게 되어서 역류해 구토하는 증상이 나타나게 됩니다. 이는 1달에 2~3번 정도로 나타나며 이는 건강상의 적신호일 수 있습니다. 만약 구토를 할 때마다 피가 섞여나오게 된다면 상부 위장관 출혈을 의심해야 합니다. 이때는 바로 병원으로 가서 전문의 진료를 받아야 합니다.
위암 초기증상: 지속적인 위 통증 증상
배꼽 부근에 통증이 있게 됩니다. 지속적으로 기간을 두고 발생하게 되면 위암 초기증상을 의심해봐야 합니다. 통증이 일어날 때 배탈이나 속 쓰림 증상을 동반할 수 있습니다. 때문에 나타나는 다양한 증상이 유사할 경우 위암 초기증상을 의심해봐야 합니다. 만약 위암이 진행되고 있다면 체액 분비가 심해지면서 동시에 배가 붓고 심한 통증이 발생할 수 있습니다.
위암 초기증상: 급격한 식욕 감소 증상
속이 편하지 않게 되면 저절로 식사양이 줄어들게 됩니다. 그런데 간혹 많은 양을 식사 한것도 아닌데 항상 배가 더부륵하고 가득 차 있는 느낌이 든다면 위암 초기증상을 의심해봐야 합니다. 위에도 근육이 있습니다. 그런데 만약 위에 문제가 생기면 위 근육이 운동을 하지 못하기 때문에 음식이 위에 머무르는 시간이 늘어나서 보통 때보다 포만감이 지속되게 됩니다.
위암 초기증상: 체중 감소 증상
여러가지 복합적인 위암 초기증상으로 인해서 체중 감소까지 이어지게 됩니다. 연하곤란으로 인해 음식을 삼키기가 난감해지고 음식을 어찌어느 먹었다 하더라도 구토 증상이 나타납니다. 그리고 식욕 감소와 조기 포만감이 들어 보통 때 먹던 양의 반에 반도 먹지 못하는 경우가 잦아지게 됩니다. 이로 인해 체중이 자연히 감량되게 됩니다.















위암 초기증상: 반보되는 소화불량 증상
위암의 조기 진단이 힘든 이유 중 하나가 바로 위암의 초기 증상이 배탈이나 속쓰림 같은 보편적인 위장 질환과 증상이 동일하다는 점입니다. 이로 인해서 초기에 발견하지 못하고 치료시기를 놓치는 경우가 있습니다.
위의 암세포 증식은 위기능을 떨어트려 낮아지게 만들어 잦은 배탈 또는 소화불량으로 지속될 수 있다고 합니다. 특히 특출난 이유없이 배탈이나 소화불량이 오랜 시간동안 계속된다면 전문의에게 찾아가 검진을 받아보시는 것이 좋습니다.
위암 초기증상: 포만감
위암 초기증상: 무증상
조기 위암 환자의 경우 약 80% 가량은 위암 초기증상등의 증상을 느끼지 못했다고 합니다. 아무런 전조증상이 없다가 갑자기 위염인가 싶을 정도의 가벼운 속 쓰림 증세가 나타나게 됩니다. 이렇게 되면 이미 조기진단과 자가진단의 시기를 놓쳐 암을 키우는 경우가 많다고 합니다. 그러니 예방차원에서 정기적인 정기검진은 꼭 필요합니다.
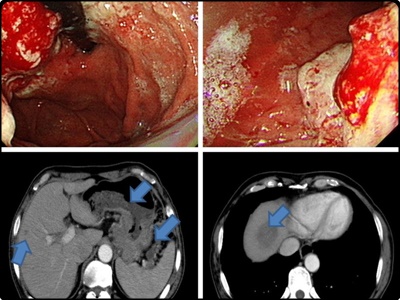
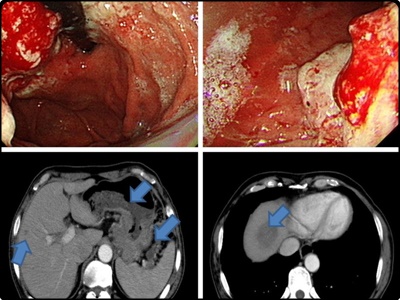
위암 4기 생존율
위암 4기 판정을 받았다고 한다면 이는 임파선과 원격 전이가 진행된 것으로 봐야합니다. 이런 상황이 되면 암세포가 혈액이나 림프액을 통해 전신에 퍼졌다는 것을 의미하기도 합니다. 때문에 항암 치료와 예후가 중요한 시기이기도 합니다.
위에서 위암 초기증상은 포함하여 빈혈, 호흡관란, 황달 및 복수, 골절 및 골통 그리고 신장 기능의 저하로 인한 소변량이 감소하게 됩니다.



그리고 위암 4기 생존율은 환자의 상태와 치료 방법에 따라 많은 차이가 있습니다. 특히 수술 치료 후 재발이 되지 않는다면 생존율은 더 높아집니다. 수술치료, 방사선 치료, 항암 치료, 면역 치료 등의 다양한 치료법이 있기 때문에 꾸준히 치료와 관리를 병행하게 되면 생존율을 높일 수 있습니다.
위암 초기증상 속쓰림 무증상 및 위암 4기 생존율에 대해 살펴보았습니다.
당뇨병에 좋은 음식 vs. 당뇨병에 나쁜 음식
우리 몸에서 인슐린의 분비 또는 작용이 충분하지 않아 혈당 수치가 일정 수준 이상으로 높아진 상태를 당뇨병입니다. 한번 증상이 나타나게 되면 완치가 어렵기 때문에 꾸준하게 식품을 통해
new.richmom119.com
뉴질랜드 초록입홍합 오일 효능 초록홍합 효능 초록입 홍합 분말 효능
홍합은 껍질의 색깔에 따라 효능이 다릅니다. 그리고 조개살을 직접 먹을 때와 오일형태로 섭취할 때 그리고 분말로 먹을 때에 따라 효능의 차이가 있습니다. 뉴질랜드 초록입홍합 오일 효능 초
new.richmom119.com